
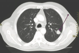
Five notable abstracts from the 2019 World Conference on Lung Cancer (WCLC).

Your AI-Trained Oncology Knowledge Connection!


Five notable abstracts from the 2019 World Conference on Lung Cancer (WCLC).

Many clinical trials in breast and endometrial cancers are underway and recruiting patients.

Published: September 20th 2019 | Updated:

Published: November 14th 2019 | Updated: