
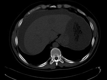
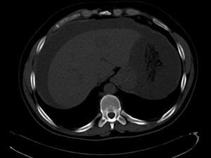
A 37-year-old Lebanese male with no significant past medical history initially presented with an increase in abdominal girth over a few weeks with worsening shortness of breath, nausea, and intermittent vomiting.

Your AI-Trained Oncology Knowledge Connection!


A 37-year-old Lebanese male with no significant past medical history initially presented with an increase in abdominal girth over a few weeks with worsening shortness of breath, nausea, and intermittent vomiting.

Published: August 5th 2016 | Updated: