
|Poll|March 26, 2018
38-Year-Old Woman With Breast Mass
Author(s)Cesar A. Moran, MD
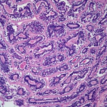
A 38-year-old woman presents with a breast mass and a biospy is obtained. What is your diagnosis?
Advertisement
A 38-year-old woman presents with a breast mass and a biospy is obtained.
Based on the image shown, what is your diagnosis?
Newsletter
Stay up to date on recent advances in the multidisciplinary approach to cancer.
Advertisement
Advertisement
Advertisement
Trending on CancerNetwork
1
FDA Gives Traditional Approval to Pirtobrutinib in CLL/SLL
2
Novel Cancer Vaccine Improves OS vs SOC in Newly Diagnosed GBM
3
The Role of Artificial Intelligence in Palliative Oncology: Zeroing in on Hematologic Malignancies
4
FDA Selects Detalimogene for Manufacturing Pilot Program in NMIBC
5

















































































