
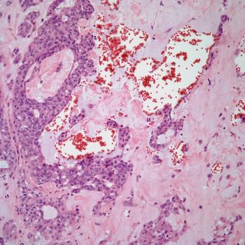
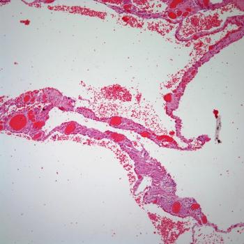
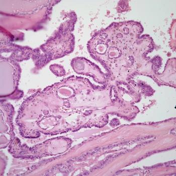
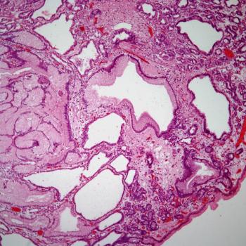
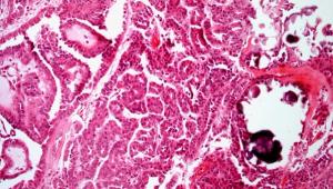
A 56-year-old man presents with an intranasal mass. What is your diagnosis?

Your AI-Trained Oncology Knowledge Connection!


A 56-year-old man presents with an intranasal mass. What is your diagnosis?

A 35-year-old woman presents with symptoms of dyspnea. Chest films detects the presence of an anterior mediastinal cystic mass. What is your diagnosis?

A 23-year-old young man presents with pain in his left calf. A physical examination detects a mass in the calf area. What is your diagnosis?

A 53-year-old man presents with a headache and general malaise. Diagnostic imaging identifies a mass in the brain. What is your diagnosis?

A 41-year-old woman presents with a palpable mass in her left breast. A lumpectomy is performed. What is your diagnosis?

A 53-year-old man comes in with a cough, chest pain, and dyspnea that he’s had for several weeks. Radiographic imaging of the chest reveals a mass lesion in the right lower lobe. What's your diagnosis?

A 23-year-old man, with no history of malignancy, presents with a soft tissue mass in the left side of the abdomen. What's your diagnosis?

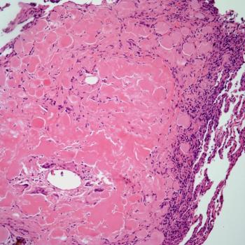
A 48-year-old man presents with a soft tissue tumor in the right side of his chest. The patient has a history of several bone fractures in the past. What is your diagnosis?

A 38-year-old woman presents with dyspnea and general malaise. Diagnostic imaging revealed the presence of multiple bilateral cystic and nodular lesions in her lung. What is your diagnosis?


A 37-year-old woman presents with vaginal bleeding. An endometrial biopsy is obtained. What is your diagnosis?

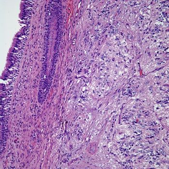
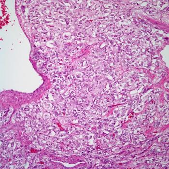
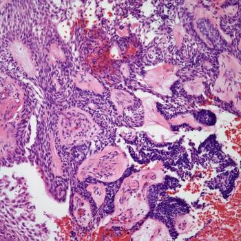
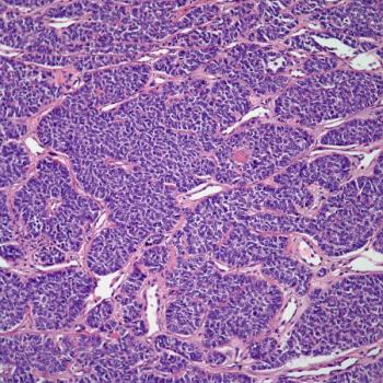
A 43-year-old man presents with nasal bleeding and obstruction. An intranasal mass is found and a biopsy is taken. What is your diagnosis?

A 42-year-old man notes feeling a lump in the anterior part of his neck. Imaging detects a mass in the thyroid gland. What is your diagnosis?

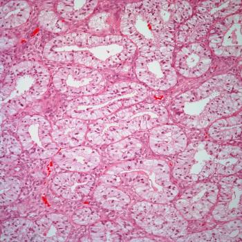
A 54-year-old woman presents with nausea, vomiting, and flushing. Imaging shows a mass in the right adrenal gland. What is your diagnosis?

A 48-year-old man presents with pain in his right maxilla, and imaging demonstrates a mass. What is your diagnosis?

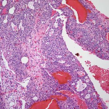
A 43-year-old woman presents with pain in the right side of her neck. A mass is found on physical examination. What is your diagnosis?

A 48-year-old man presents with dyspnea and cough. Imaging shows an anterior mediastinal mass, and resection of the mass is performed. What is your diagnosis?

A 32-year-old man presents with a firm nodule in his arm. Resection of the nodule is performed. What is your diagnosis?

A 43-year-old woman presents with abdominal pain and an appendectomy is performed. What is your diagnosis?

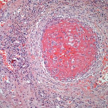
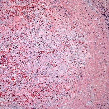
A 73-year-old man presents with a subcutaneous lesion in his right calf. Surgical resection is performed. What is your diagnosis?

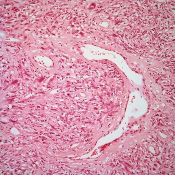
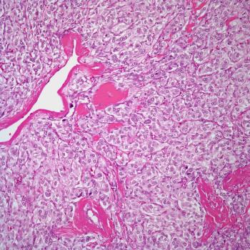
A 52-year-old woman presents with abdominal discomfort, which on physical examination revealed the presence of splenomegaly. A splenectomy is performed. What is your diagnosis?

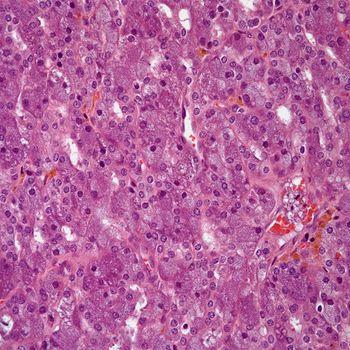
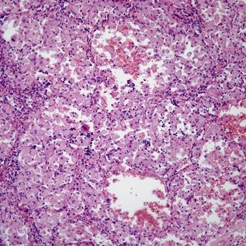
A young child presents with symptoms of fatigue and general malaise. A physical examination reveals the presence of an enlarged liver, and a liver biopsy is performed. What is your diagnosis?

A 43-year-old man presents with a subcutaneous tumoral lesion in his right leg. Surgical resection of the tumor was performed. What is your diagnosis?

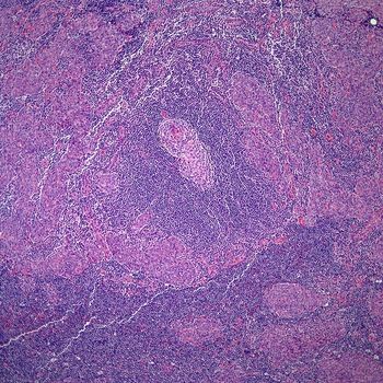
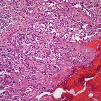
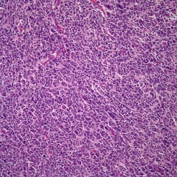
A 57-year-old man presents with vague gastrointestinal symptoms, general malaise, and fatigue. Physical exam reveals the presence of enlarged lymph nodes. What is your diagnosis?

A 38-year-old woman presents with symptoms of nausea, sweating, flushing, and heart palpitations. Imaging shows the presence of an adrenal mass. What is your diagnosis?

A 72-year-old woman presents with a lesion on the left posterior thigh. What is your diagnosis?

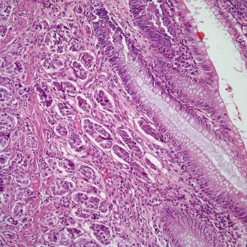
A man presents with a history of gastroesophageal reflux. Endoscopic evaluation shows a nodule in the stomach. What is your diagnosis?

A 45-year-old man presents with neck pain and a mass in the thyroid gland. What is your diagnosis?

A 34-year-old man presents with a skin tumor in the right chest. What is your diagnosis?

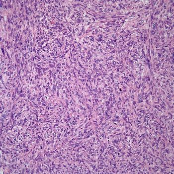
A 43-year-old man presents with a soft tissue mass in the right leg. A biopsy is obtained. What is your diagnosis?

Published: October 23rd 2012 | Updated:

Published: September 26th 2013 | Updated:

Published: September 23rd 2013 | Updated:

Published: September 9th 2013 | Updated:

Published: March 2nd 2012 | Updated:

Published: April 6th 2012 | Updated: