
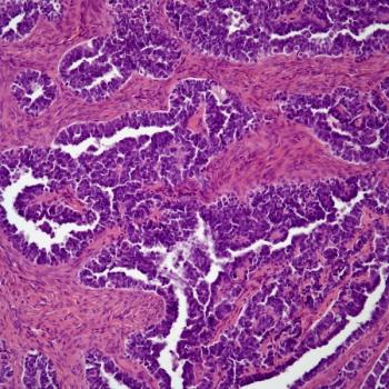
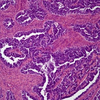
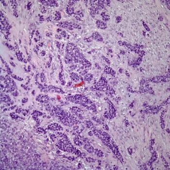
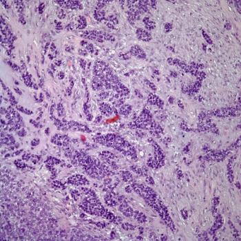
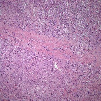
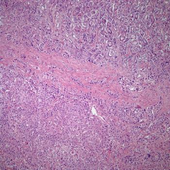
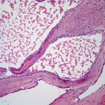
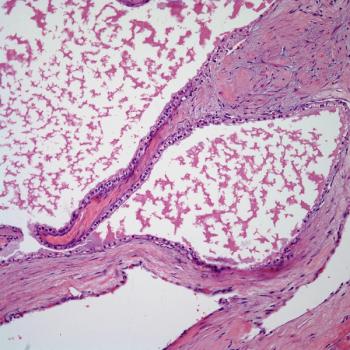
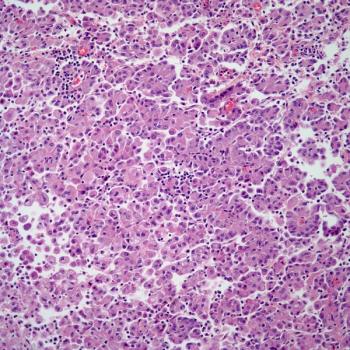
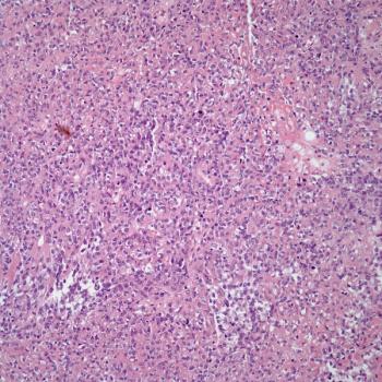
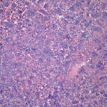
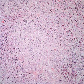
A 52-year-old man presents with dyspnea and chest pain. Imaging shows the presence of a tracheal lesion. What is your diagnosis?

Your AI-Trained Oncology Knowledge Connection!


A 52-year-old man presents with dyspnea and chest pain. Imaging shows the presence of a tracheal lesion. What is your diagnosis?

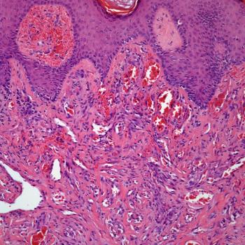
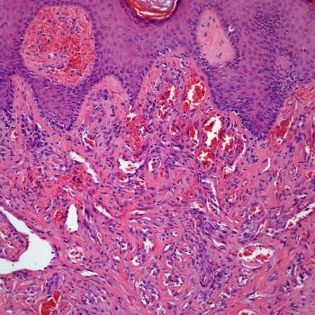
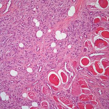
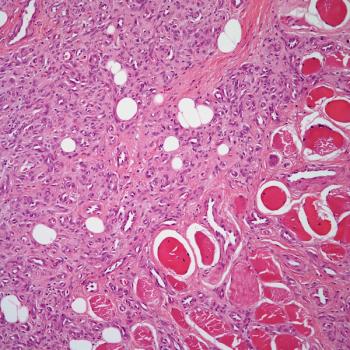
A 43-year-old woman presents with mass lesion in the palate. A biopsy is obtained. What is your diagnosis?

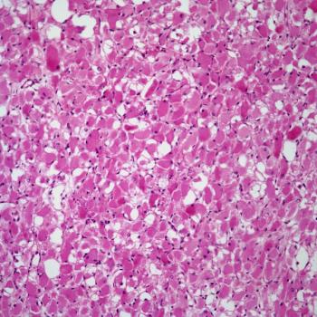
A 23-year-old presents with a painful mass in the right testicle. What is your diagnosis?

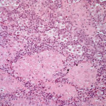
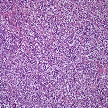
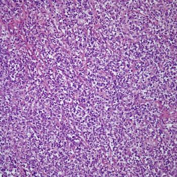
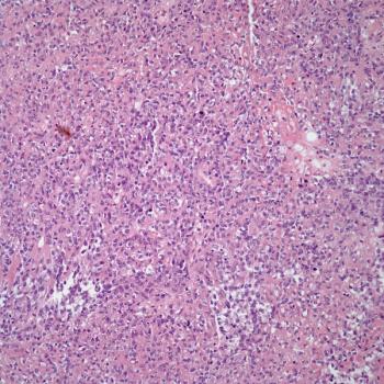
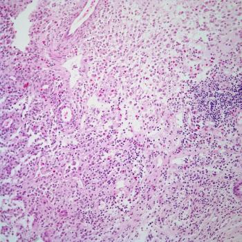
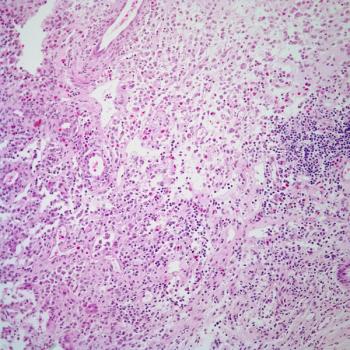
A 38-year-old man presents with a mass in the right size of the neck. The mass is not painful. What is your diagnosis?

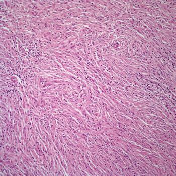
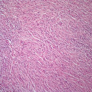
A 54-year-old man presents with chest pain, cough, shortness of breath, and a mediastinal mass. What is your diagnosis?

A 44-year-old woman presents with a mass in the right side of the neck. The patient complains of general malaise and a cough. What is your diagnosis?

A 54-year-old man presents with symptoms of "reflux." An esophageal biopsy is obtained. What is your diagnosis?

A 58-year-old man presents with a history of several purpuric nodules on the right leg and foot. What is your diagnosis?

A 28-year-old man presents with a mass in the left neck region. What is your diagnosis?

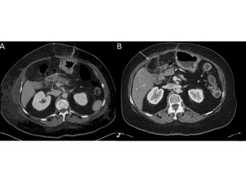
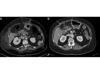
CT images from a 58-year-old female who underwent surgery for pancreatic cancer show a previously unseen structure. What is your diagnosis?

A 6-year-old boy was found to have a nodule in the right testicle. What is your diagnosis?

A young woman presents with abdominal pain and a pelvic mass. What is your diagnosis?

A 73-year-old man presents with neck pain and a mass of possible thyroid origin. What is your diagnosis?

A 52-year-old woman presents with nasal congestion and an intranasal mass. What is your diagnosis?

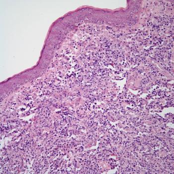
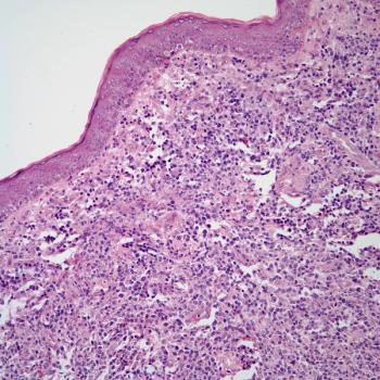
A 57-year-old man presents with a history of pruritic rashes that have persisted over the last 6 months. What is your diagnosis?

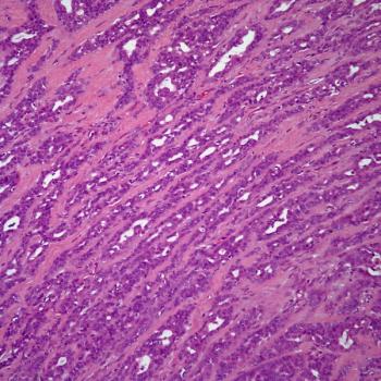
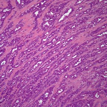
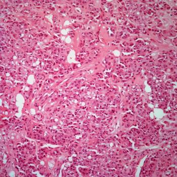
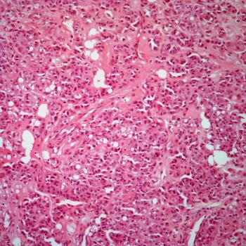
A 59-year-old man presents with abdominal pain. Diagnostic imaging reveals a gastric mass. What is your diagnosis?

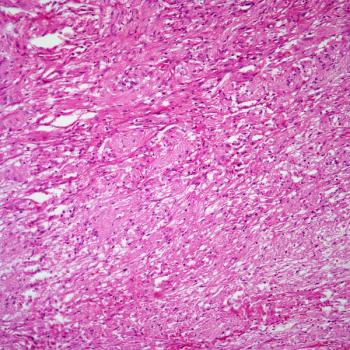
A 62-year-old man presents with back pain. Diagnostic imaging shows a sacral mass. What is your diagnosis?

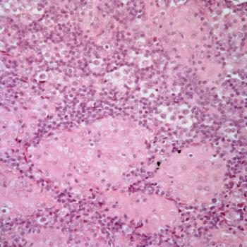
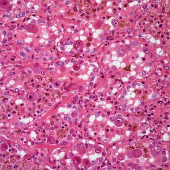
A 68-year-old woman presents with presents with a mass in the tail of the pancreas. What is your diagnosis?

A patient with a history of thalassemia minor presents with chest pain and a cough. Imaging shows a posterior mediastinal mass. A biopsy is performed. What is your diagnosis?

A 27-year-old woman presents with chest pain, cough, and general malaise. Imaging reveals an anterior mediastinal mass. What is your diagnosis?

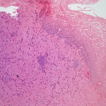
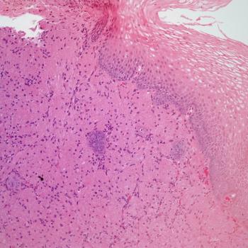
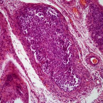
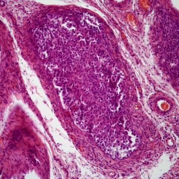
The lesion in the right side of the patient’s back does not appear to be in soft tissue without involvement of epidermis. Surgical resection is performed. What is your diagnosis?

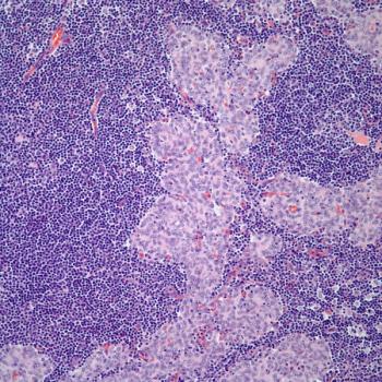
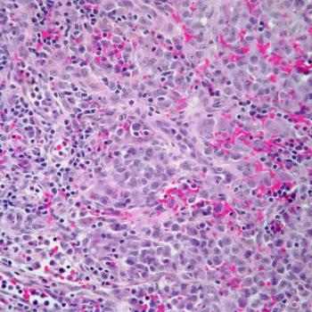
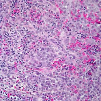
An otherwise healthy 38-year-old man presents with an enlarged lymph node in the right side of the neck. Surgical resection of the lymph node is performed. What is your diagnosis?

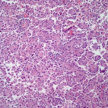
A 65-year-old man presents with a mildly painful mass in the right side of his neck. He reports that it has been growing during the past few weeks. A biopsy of the mass is obtained. What is your diagnosis?

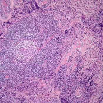
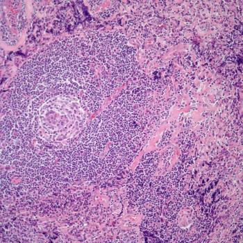
A 27-year-old woman presents with a right neck enlargement of a lymph node. She states that lately she has been fatigued, with a feeling of malaise. What is your diagnosis?

A 58-year-old man presents with a cough, dyspnea, and chest pain. Chest imaging shows the presence of pleural effusion, and a biopsy is obtained. What is your diagnosis?

A 45-year-old man presents with a movable, mildly painful mass on the right side of his back, which he noticed a couple of weeks prior to presentation. A biopsy is obtained. What is your diagnosis?

A 32-year-old man presents with pain in the lower back of several weeks’ duration. What is your diagnosis?

A 23-year-old with no relevant prior medical history presents with pain in the right leg. What is your diagnosis?

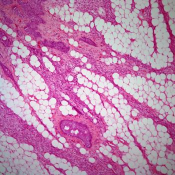
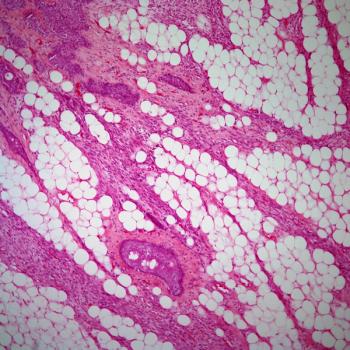
A 36-year-old woman presents with history of previous breast implants and induration of the left breast. What is your diagnosis?

A 38-year-old woman with a history of tobacco use presents with shortness of breath, cough, chest pain, and general malaise. What is your diagnosis?