
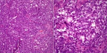
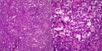
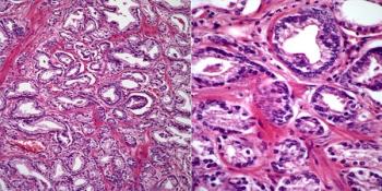
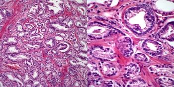
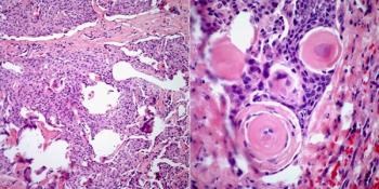
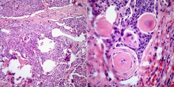
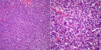
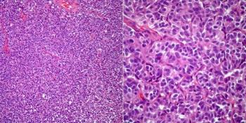
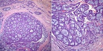
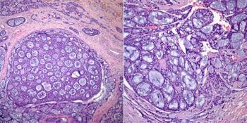
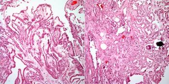
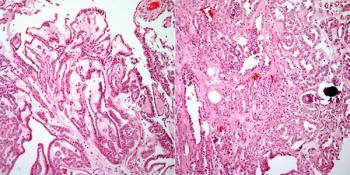
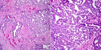
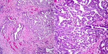
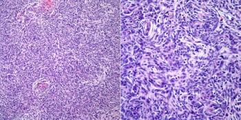
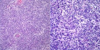
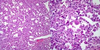
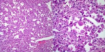
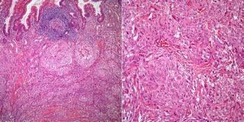
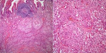
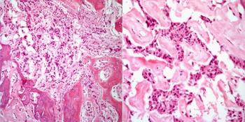
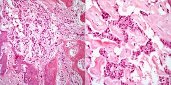
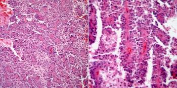
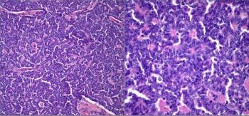
Cesar A. Moran, MD
Advertisement
Articles by Cesar A. Moran, MD
Advertisement
Advertisement
Advertisement
Trending on CancerNetwork
1
All-Oral Revumenib Regimen May Show Advantage in Newly Diagnosed AML
2
Blinatumomab/Ponatinib Provides Chemo-Free Option in Ph+ ALL
3
Epcoritamab Combo Significantly Improves Efficacy in 2L R/R Follicular Lymphoma
4
Azacitidine Plus Venetoclax Improves EFS in Acute Myeloid Leukemia
5

























