
Cesar A. Moran, MD
Advertisement
Articles by Cesar A. Moran, MD


















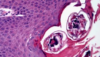
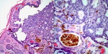
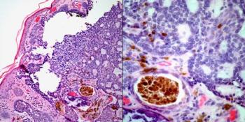
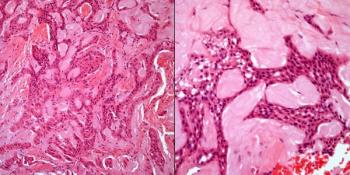
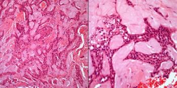
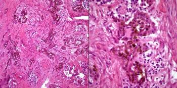
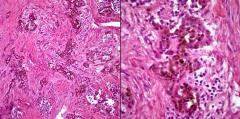
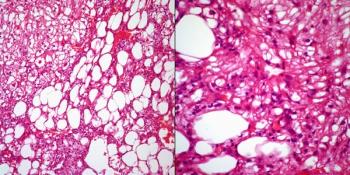
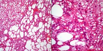
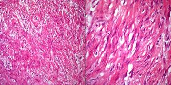
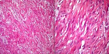
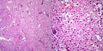
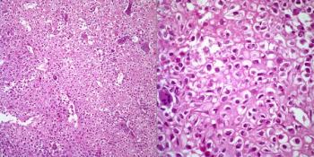
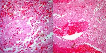
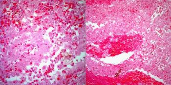
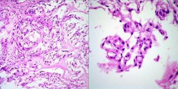
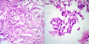
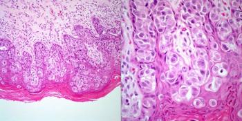
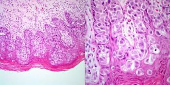
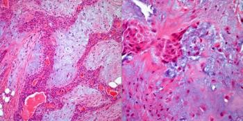
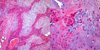
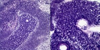
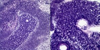
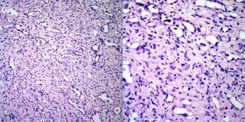
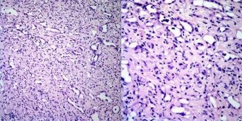
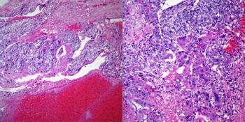
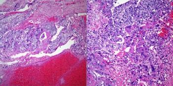
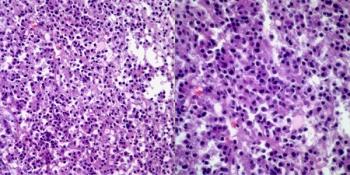
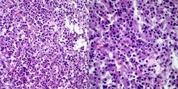
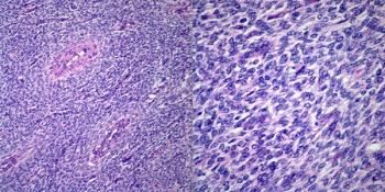
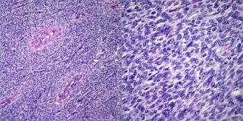
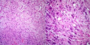
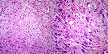
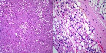
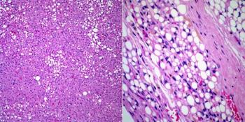
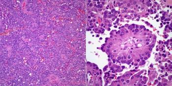
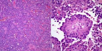
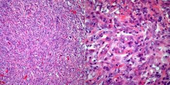
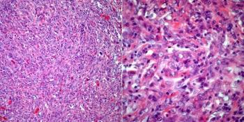
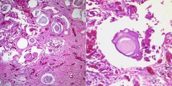
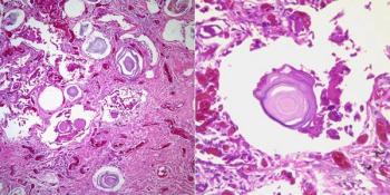
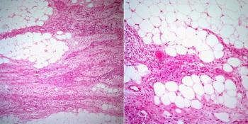
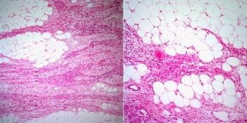
A 53-year-old woman presented with pain in the abdomen. Physical examination and radiographic imaging shows the presence of an abdominal mass. Biopsy of the mass was performed. What is your diagnosis?











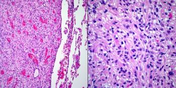
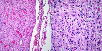
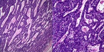
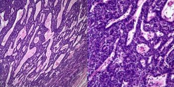
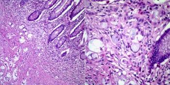
This review considers the status of the different histological classifications thus far presented for thymomas and offers an analysis of the association between histology and clinical behavior.

Advertisement
Advertisement
Advertisement
Trending on CancerNetwork
1
All-Oral Revumenib Regimen May Show Advantage in Newly Diagnosed AML
2
Blinatumomab/Ponatinib Provides Chemo-Free Option in Ph+ ALL
3
Epcoritamab Combo Significantly Improves Efficacy in 2L R/R Follicular Lymphoma
4
Azacitidine Plus Venetoclax Improves EFS in Acute Myeloid Leukemia
5


