
|Poll|August 30, 2018
What Caused This Mediastinal Mass in a 42-Year-Old Man?
Author(s)Cesar A. Moran, MD
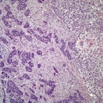
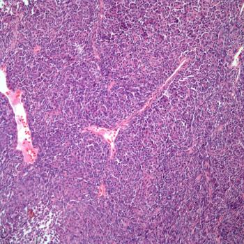
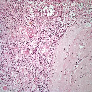
A patient with a history of thalassemia minor presents with chest pain and a cough. Imaging shows a posterior mediastinal mass. A biopsy is performed. What is your diagnosis?
Advertisement
A 42-year-old man presents with chest pain and a cough. Diagnostic imaging reveals a posterior mediastinal mass. Importantly, the patient has a history of thalassemia minor. A biopsy of the mass is performed.
Based on the image shown, what is your diagnosis?
Newsletter
Stay up to date on recent advances in the multidisciplinary approach to cancer.
Advertisement
Advertisement
Advertisement
Trending on CancerNetwork
1
Sacituzumab Govitecan Combo Reduces Progression, Death By 35% in Metastatic TNBC
2
Relacorilant/Nab-Paclitaxel Meets OS End Point in Platinum-Resistant Ovarian Cancer
3
BNT113 Granted Fast Track Designation in HPV16-Positive HNSCC
4
FDA Approves Liquid Biopsy CDx for Encorafenib Regimen in BRAF V600E+ CRC
5

























































































