
52-Year-Old Woman With Dysphagia and Dyspnea and Nodule in Neck
A 52-year-old woman presents with symptoms of dysphagia and dyspnea. At clinical examination, a palpable soft nodule is present in the right side of the neck. What is your diagnosis?
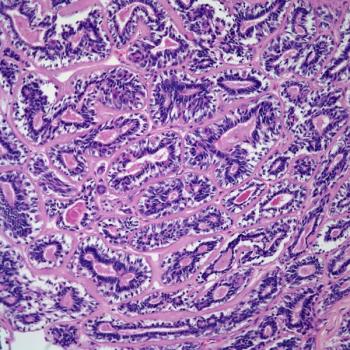
A 52-year-old woman presents with symptoms of dysphagia and dyspnea. At clinical examination, a palpable soft nodule is present in the right side of the neck. The nodule is not painful. The patient does not have any other pertinent history. Imaging detects that the nodule is within the thyroid gland, and surgical resection of the right thyroid lobule is performed. The resected thyroid lobule shows a well-circumscribed nodule measuring approximately 2.5 cm. It is soft and not hemorrhagic.
Based on the image shown, what is your diagnosis?
Newsletter
Stay up to date on recent advances in the multidisciplinary approach to cancer.
























































































