
|Poll|July 21, 2016
Lung Mass in 43-Year-Old Patient
Author(s)Cesar A. Moran, MD
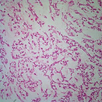
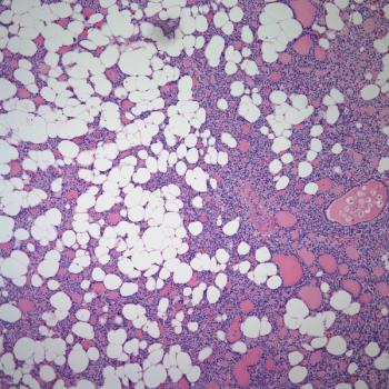
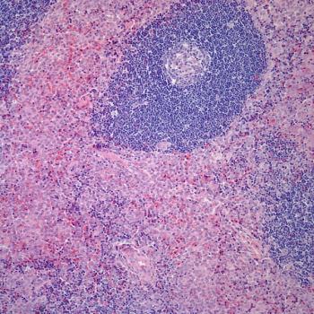
A 43-year-old man presents with a cough and chest pain. Imaging shows a mass in the lower lobe of his right lung, and a biopsy is performed. What is your diagnosis?
Advertisement
Newsletter
Stay up to date on recent advances in the multidisciplinary approach to cancer.
Advertisement
Advertisement
Advertisement
Trending on CancerNetwork
1
Sacituzumab Govitecan Combo Reduces Progression, Death By 35% in Metastatic TNBC
2
Relacorilant/Nab-Paclitaxel Meets OS End Point in Platinum-Resistant Ovarian Cancer
3
BNT113 Granted Fast Track Designation in HPV16-Positive HNSCC
4
FDA Approves Liquid Biopsy CDx for Encorafenib Regimen in BRAF V600E+ CRC
5























































































