
A 41-year-old woman with a past medical history notable for HIV underwent her first screening mammogram, which demonstrated a 1.5-cm irregular focal asymmetry in the left breast. What is your diagnosis?

Your AI-Trained Oncology Knowledge Connection!


A 41-year-old woman with a past medical history notable for HIV underwent her first screening mammogram, which demonstrated a 1.5-cm irregular focal asymmetry in the left breast. What is your diagnosis?

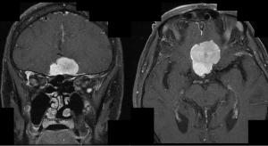
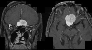
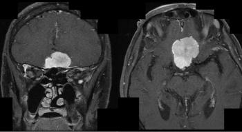
A 71-year-old woman with a past medical history of rectal cancer presents with complaints of her “eyes not working.” Physical exam is notable for incongruent bitemporal visual field defects. An MRI of the brain with gadolinium contrast was obtained. What is the diagnosis?

Published: November 2nd 2017 | Updated:

Published: December 18th 2017 | Updated: