Articles by Joseph Miccio, MD

This review summarizes the current evidence supporting the use of SBRT as treatment for inoperable renal cell carcinoma, as well as provides recommendations for patient selection and reviews the technical aspects of treatment and the expected toxicities.

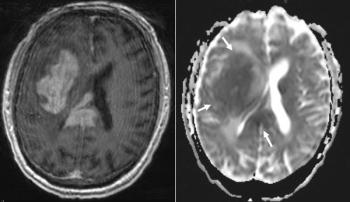
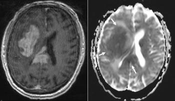
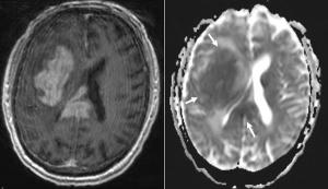
A 74-year-old man with a medical history of hypertension, hyperlipidemia, and type 2 diabetes mellitus was found lying on the ground by his family and was brought to the emergency department, where he was found to have left facial drooping and weakness. What is the most likely diagnosis?

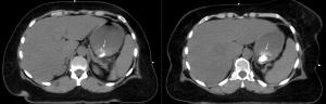
A 57-year-old woman with a history of stage IIB breast cancer (ypT2N1M0) status post neoadjuvant chemotherapy and left partial mastectomy presents to the radiation oncology clinic for CT simulation in preparation for breast radiotherapy. Noncontrast CT scan incidentally found the abnormality depicted with arrows below. What is your diagnosis?