
A 64-year-old man is diagnosed with primary squamous cell carcinoma within the upper pole calyceal diverticulum of the kidney. What are the best steps of management?

Your AI-Trained Oncology Knowledge Connection!


A 64-year-old man is diagnosed with primary squamous cell carcinoma within the upper pole calyceal diverticulum of the kidney. What are the best steps of management?

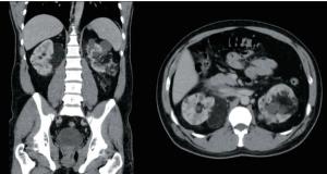
A 35-year-old man with a known history of tuberous sclerosis complex was referred to the urology clinic by his primary care physician for consultation regarding bilateral, multifocal renal masses.

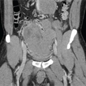
A 35-year-old African-American man was referred to our urology clinic by his primary care physician for consultation about a large left scrotal mass. The patient reported a 3-month history of left scrotal swelling that had progressively increased in size and was associated with mild left scrotal pain.

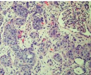
A 52-year-old man presented to his primary care physician with several months of painless gross hematuria. The patient had recently emigrated from North Africa. He was referred to our urology clinic for further evaluation.

Published: May 16th 2017 | Updated:

Published: September 15th 2017 | Updated:

Published: April 15th 2018 | Updated:

Published: February 15th 2019 | Updated: