Articles by Allan Haynes, Jr, MD

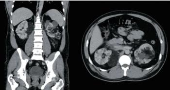
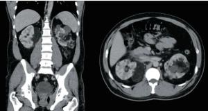
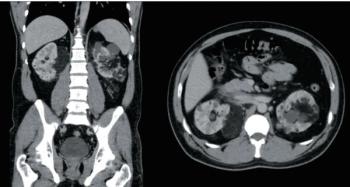
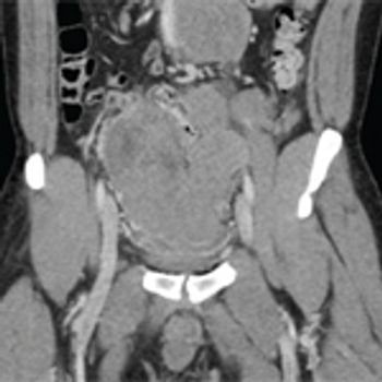
A 35-year-old man with a known history of tuberous sclerosis complex was referred to the urology clinic by his primary care physician for consultation regarding bilateral, multifocal renal masses.

A 35-year-old African-American man was referred to our urology clinic by his primary care physician for consultation about a large left scrotal mass. The patient reported a 3-month history of left scrotal swelling that had progressively increased in size and was associated with mild left scrotal pain.

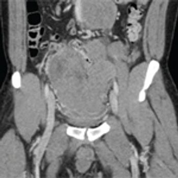
A 52-year-old man presented to his primary care physician with several months of painless gross hematuria. The patient had recently emigrated from North Africa. He was referred to our urology clinic for further evaluation.