
Nationwide Circulating-Tumor DNA–Guided Basket and Umbrella Clinical Trials for Patients With Advanced Solid Tumors (GOZILA; UMIN000029315)

Your AI-Trained Oncology Knowledge Connection!


Nationwide Circulating-Tumor DNA–Guided Basket and Umbrella Clinical Trials for Patients With Advanced Solid Tumors (GOZILA; UMIN000029315)

Circulating tumor DNA (ctDNA)-based next- generation sequencing (NGS) assays have advantages over classic tissue-based analyses because of their low invasiveness and availability of repeated sampling. The existence of various companion trials for common alterations that can be potential therapy targets on the 2 platforms can lead to future international collaboration.

The level of scientific evidence in National Comprehensive Cancer Network guidelines for malignant hematological conditions haven’t been recently investigated. Herein, investigators describe the distribution of categories of evidence and consensus among the 10 most common hematologic malignancies with regard to recommendations for staging, initial and salvage therapy, and surveillance.

Profilin 1, or PFN1, is a key actin-binding protein that is involved in various cellular activities, such as cell motility, survival, and membrane trafficking. By summarizing the functions of PFN1 in cancer, investigators hope to better understand the mechanisms of PFN1 in cancer progression.

Until 5 years ago, systemic therapeutic options for urothelial carcinoma, the most common form of bladder cancer, had been limited to cisplatin-based regimens and taxanes. This article explores the current and future outlooks for combination therapy with IOs in urothelial carcinoma.

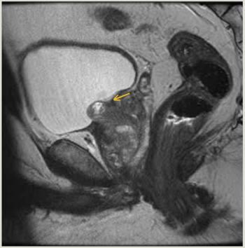
This is the case of a man, aged 56 years, who presented with urinary intermittency, frequency, urgency, and dysuria 5 months after undergoing focal laser ablation (FLA) of Gleason 3 + 4 = 7 prostate cancer (PC).

“MK,” a man aged 67 years, presented with fatigue and nausea to his primary care physician. CT staging scans confirmed the primary tumor and a suspicious left 1.2-cm inguinal lymph node but no distant metastases. MRI of the pelvis revealed complete replacement of the penis with tumor as well as invasion into the scrotum and bilateral groin soft tissue; additionally, early pubic bone invasion was present, with left groin lymphadenopathy. Biopsy verified squamous cell carcinoma of the penis, and discussion with the multidisciplinary team uroradiologist confirmed bony invasion.


ONCOLOGY® co-Editor-in-Cheif Julie M. Vose, MD, MBA, chief of the Division of Hematology/Oncology at the University of Nebraska Medical Center in Omaha, Nebraska, discusses the emergence of telehealth during the COVID-19 pandemic and the needs of patients going forward.