
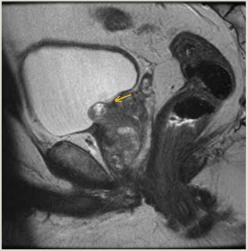
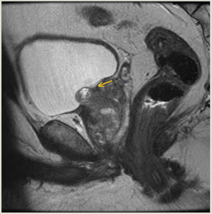
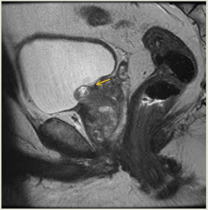
This is the case of a man, aged 56 years, who presented with urinary intermittency, frequency, urgency, and dysuria 5 months after undergoing focal laser ablation (FLA) of Gleason 3 + 4 = 7 prostate cancer (PC).

Your AI-Trained Oncology Knowledge Connection!


This is the case of a man, aged 56 years, who presented with urinary intermittency, frequency, urgency, and dysuria 5 months after undergoing focal laser ablation (FLA) of Gleason 3 + 4 = 7 prostate cancer (PC).

STUMP: Elevated PSA, family history, risk factors, and clinical findings. What is the next step in this case? Experts weigh in.

Published: July 13th 2021 | Updated:

Published: September 20th 2019 | Updated: