Articles by Artak Gevorgyan, MD

How to Treat Metastatic Malignant Triton Tumor in an Adolescent
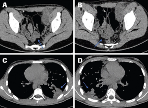
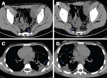
ByIrina Melnichenko, MD,Lilit Sargsyan, MD,Karen Bedirian, MPH,Davit Dallakyan MD, PhD,Artak Gevorgyan, MD,Gevorg Aloyan, MD, PhD,Artur Harutyunyan, MD,Levon Davtyan, MD,Armine Lazaryan, MD,Narek Manukyan, MD,Gevorg Tamamyan, MD, Phd, MSc,Ruzanna Papyan, MD A systematic review of reported clinical cases and treatment strategies was performed to better understand the prognostic factors and to develop the best possible treatment option for a 16-year-old patient diagnosed with a malignant triton tumor in the lower extremity with distant metastases in the lungs.