
Christianne Bourlon, MD, MHSc
Articles by Christianne Bourlon, MD, MHSc


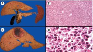
The case of a 43-year-old male with a history of B-cell acute lymphoblastic leukemia.

A 39-year-old woman with no significant medical history presented to the emergency department with progressive diffuse abdominal pain, involuntary weight loss, anemic syndrome, and limitation of mobility. What is the best treatment course to follow?

A 67-year-old man, a former smoker, presented with gross hematuria. A CT urogram showed a bladder tumor in the anterior wall and multiple enlarged retroperitoneal lymph nodes. Two vertebral metastases were seen on a bone scan. He underwent a transurethral resection of the bladder, and the pathology report revealed muscle-invasive urothelial carcinoma.

A 45-year-old man with a known history of rheumatic fever and aortic valve replacement 15 years earlier presented with the chief complaint of a 1-month history of progressive, intense, nonmechanical lumbar pain.
Latest Updated Articles
Challenges of Treating a Patient With Advanced Prostate Cancer During the COVID-19 PandemicPublished: August 12th 2020 | Updated:
Biphenotypic Extramedullary Blast Crisis of Chronic Myeloid Leukemia With Variant Philadelphia Chromosome TranslocationPublished: August 15th 2015 | Updated:
Is This Patient With Metastatic Bladder Cancer a Candidate for Second-Line Immunotherapy Treatment?Published: February 15th 2018 | Updated:
Multiple Myeloma With Extramedullary Disease: A Challenging Clinical DilemmaPublished: April 15th 2019 | Updated:
Isolated Extramedullary Relapse in Acute Lymphoblastic Leukemia: What Can We Do Before and After Transplant?Published: February 13th 2020 | Updated:

