
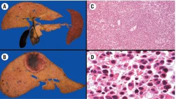
A 39-year-old woman with no significant medical history presented to the emergency department with progressive diffuse abdominal pain, involuntary weight loss, anemic syndrome, and limitation of mobility. What is the best treatment course to follow?

Your AI-Trained Oncology Knowledge Connection!


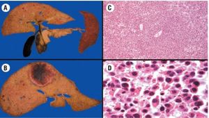
A 39-year-old woman with no significant medical history presented to the emergency department with progressive diffuse abdominal pain, involuntary weight loss, anemic syndrome, and limitation of mobility. What is the best treatment course to follow?

Published: April 15th 2019 | Updated: