Articles by Rudy P. Lackner, MD

Recurrent EGFR-Mutated Non–Small Cell Lung Cancer Discovered by Abnormal Mammogram: Adjuvant/Frontline Metastatic Management Options
ByMehmet Sitki Copur, MD,Rudy P. Lackner, MD,Adam J. Horn, MD,Thomas Zusag, MD,Shellie Faris, MD,Paul Rodriguez, MD ABSTRACT:
Breast metastasis from extramammary malignancy is rare, with a reported incidence rate of 0.4% to 1.3% in the published literature. The primary malignancies that most commonly metastasize to the breast are leukemia, lymphoma, and malignant melanoma. Here, we report a very rare case of metastatic EGFR-mutated non–small cell lung cancer (NSCLC) in the breast detected by screening mammography. The patient had initially been diagnosed with a clinical stage IIIA NSCLC and had been treated with neoadjuvant chemoradiation followed by curative-intent surgery. Several interesting aspects of the case, along with a discussion of evolving adjuvant and frontline metastatic management options in EGFR-mutated NSCLC, will be presented.

Synchronous Bilateral Lung Cancer With Discordant Histology
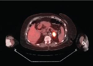
ByMehmet Sitki Copur, MD, FACP,Rudy P. Lackner, MD,Whitney Wedel, MD,Nikki Lintel, MD,Matthew Stritt, MD,Kalpesh Ganatra, MD Medical oncologsts discuss the case of a 70-year old woman with synchronous multiple primary lung cancer.

Despite a decreasing incidence in the United States, small-cell lung cancer (SCLC) remains a major clinical problem, with approximately 30,000 new cases each year. The diagnosis of SCLC is usually not difficult. The Veterans Administration Lung Study Group (VALSG) staging system is less accurate than the American Joint Committee of Cancer tumor-node-metastasis (TNM) system (7th edition) at predicting survival in SCLC, especially in lower stage disease. Surgery has not played a major part in the management of SCLC, but emerging data suggest that resection may have a role in earlier stage disease. While the frontline treatment of SCLC has not changed significantly in the past decade, newer agents that are currently being investigated provide hope for better treatment of relapsed/refractory disease for the future.

The role of screening in order todetect lung cancer at an earlierstage has been widely debatedfor the past 4 decades. In this review,Dr. Mulshine focuses on the currentissues in lung cancer screening in lightof the findings of the InternationalEarly Lung Cancer Action Project(I-ELCAP) As the article mentions, thediagnosis of lung cancer is often madeat a stage when the disease is no longer amenable to cure. This is probably themost important cause for the dismaloutcomes of patients with lung canceroverall.