
This study explores the efficacy and safety of combining docetaxel and capecitabine for treating recurrent or metastatic head and neck cancer.

Your AI-Trained Oncology Knowledge Connection!


This study explores the efficacy and safety of combining docetaxel and capecitabine for treating recurrent or metastatic head and neck cancer.

Mehmet Sitki Copur, MD, gives his perspective on liquid biopsies and how they can be utilized in gastrointestinal cancer.

Mehmet Sitki Copur, MD, and colleagues examine the case of a 65-year-old patient with appendiceal mucinous neoplasms of the appendix who was treated with cytoreductive surgery and hyperthermic intraperitoneal chemotherapy.

A review of mRNA vaccine technology by ONCOLOGY® editorial board member Mehmet Sitki Copur, MD, FACP, explains the basis for progress in this field and reviews a number of new trials using this technology.

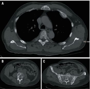
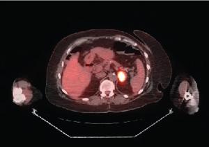
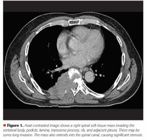
Mehmet S. Copur, MD, and colleagues examine the case of a 65-year-old who presented with back pain and a large T8 spinal mass, leading to a diagnosis of multiple myeloma with spinal cord compromise.

ABSTRACT: Breast metastasis from extramammary malignancy is rare, with a reported incidence rate of 0.4% to 1.3% in the published literature. The primary malignancies that most commonly metastasize to the breast are leukemia, lymphoma, and malignant melanoma. Here, we report a very rare case of metastatic EGFR-mutated non–small cell lung cancer (NSCLC) in the breast detected by screening mammography. The patient had initially been diagnosed with a clinical stage IIIA NSCLC and had been treated with neoadjuvant chemoradiation followed by curative-intent surgery. Several interesting aspects of the case, along with a discussion of evolving adjuvant and frontline metastatic management options in EGFR-mutated NSCLC, will be presented.

ABSTRACT Gastrointestinal stromal tumors (GISTs) are rare neoplasms of the gastrointestinal tract. They commonly present with nonspecific symptoms and thus are often discovered incidentally. They are best identified by CT scan and most stain positive for CD117 (C-Kit), CD34, and/or DOG-1. Several risk stratification classification systems have been developed based on tumor size, mitotic rate, location, and perforation. Traditional chemotherapy and radiation therapy have been very ineffective, making surgery the mainstay of treatment. The discovery of mutations associated with these tumors has revolutionized the treatment approach. Imatinib mesylate, a selective tyrosine kinase receptor inhibitor, used as adjuvant or neoadjuvant therapy, has greatly improved the morbidity and mortality associated with GISTs. As the survival of patients has increased with the long-term use of targeted therapies, quality-of-life issues now have become much more relevant and have come to the forefront of care. We present a young woman who was successfully treated for GIST but now faces associated long-term adverse effects of imatinib, including the challenge of preserving fertility and the potential for childbearing.

The coronavirus disease 2019 (COVID-19) pandemic has permanently changed many aspects of clinical care, including clinical trials. A short list of the challenges faced by the entire research community during this pandemic include (but aren’t limited to) enrollment and protocol adherence difficulties, needing to reduce patient visits, staffing constraints, and limited availability of ancillary services.

A recap of some of the most notable ASCO 2020 research results in the field of gastrointestinal cancer that may guide oncologists in their day-to-day work.

A 51-year-old man noticed abdominal swelling and distention with intermittent abdominal pain, early satiety, and decreased appetite over the past several months. A computed tomography scan of the abdomen is performed. What's your diagnosis?

The 2019 American Society of Clinical Oncology (ASCO) Annual Meeting, which took place May 31–June 4 in Chicago, drew more than 32,000 oncology specialists from around the world.

The US Food and Drug Administration recently approved a new indication for olaparib for maintenance treatment in adult patients with germline or somatic BRCA-mutated advanced epithelial ovarian cancer.


This article reviews the current state of cancer research around the world.

This article reviews patient requests and how they may be in contrast with guidelines, and provides recommendations from a community oncology practice perspective.

In this article, we discuss why participation in clinical trials in the community oncology setting is often inadequate, how this affects cancer research, and the ways to close this gap.

In this case, we examine a 49-year-old man with widespread metastatic sclerotic bone lesions. What is your diagnosis?

This lesion started as a rash 3 months prior to presentation and became an ulcerated open wound with some nodularity in and around it. What is your diagnosis?

Are there special second-line considerations for an SCC lung patient with a history of Crohn disease who progressed on first-line carboplatin and gemcitabine? Can any pretreatment tests be deferred for a patient with a history of heavy smoking and a single solitary nodule found on his CT chest scan? Take this multiquestion quiz to find out.

Know when to change targeted therapies in patients with progressive lung cancer? How about appropriate patient criteria for segmentectomy or wedge resection? Test your knowledge in our latest quiz.

A 56-year-old Caucasian woman presented to her primary care physician with a 3-month history of intermittent bright red rectal blood with defecation. At her initial visit, a digital rectal examination, anoscopy, and a pelvic examination with DNA testing for high-risk HPV were performed; all results were negative. She was referred for a colonoscopy, which revealed an abnormal area with a 3 × 4–cm mass in the rectum at a distance of 10 cm from the anal verge.

In patients with stage IIIA non–small-cell lung cancer, should the presence of N2 disease be determined by both radiologic and invasive staging prior to treatment initiation? Are ALK rearrangements and EGFR mutations mutually exclusive? Test your knowledge in our latest quiz.

Do you know what available options exist for a lung cancer patient with a BRAF V600E mutation? How about the best course of action for a patient with T2N2M0 disease? Test your knowledge and take part in a series of case scenarios to see if you can pick the correct course of action for each.

Do you know the quality-of-life impact of everolimus in gastrointestinal or lung neuroendocrine tumors? Do you know the associations between neuroendocrine tumors and MEN1? Test your knowledge on these topics and more in our latest quiz.

A 70-year-old woman with no history of smoking or asbestos exposure presented with dyspnea on exertion, nonproductive cough, left-sided pleuritic chest pain, and fatigue. Chest radiography revealed a large left pleural effusion and a mass in the left lower lobe. What is the diagnosis?

Are you up to date on staging for neuroendocrine tumors/carcinoid tumors? How about which follow-up tests are most appropriate for a patient with medullary thyroid carcinoma? Test your knowledge on these topics and more in our latest quiz.

Do you know which histopathologic subtype of ovarian cancer is most common? Or the appropriate management of a patient with clear cell carcinoma confined to the left ovary? Take this quiz to test your knowledge on the management of ovarian cancer.

A 66-year-old woman presented with conjunctival redness and irritation of the right eye. An eye exam revealed a painless, pink, fleshy patch with a smooth surface in the superior aspect of nasal bulbar conjunctiva of the right eye. A biopsy of the lesion was performed. What is the diagnosis?

A 90-year-old man presented with a 6-month history of swelling and redness of his nose. He had persistent erythematous macules, plaques, and partially confluent nodules with irregular borders developing on his nose over the past 6-month period. What is your diagnosis?

A 48-year-old Caucasian woman presented with a palpable right breast mass. Physical examination confirmed a lump on the upper outer quadrant of her right breast. On PET/CT scan there was an incidental finding of increased metabolic activity in the left lateral breast.

Published: August 11th 2020 | Updated:

Published: August 13th 2025 | Updated:

Published: December 24th 2021 | Updated:

Published: July 15th 2020 | Updated:

Published: September 21st 2020 | Updated:

Published: March 18th 2021 | Updated: