Articles by Shellie Faris, MD

A 64-Year-Old Man With Germline BRCA2-Mutated Breast Cancer: Known and Unknown Aspects of Male Breast Cancer
ByMehmet Sitki Copur, MD, FACP,Jacqueline R. Kelly, MD, MSc,Nicholas Lintel, MD,Bronson Riley, MS,Daniel J. Herold, MD,Shellie Faris, MD,Whitney Wedel, MD,Adam J. Horn, MD This study presents a male breast cancer case with a germline BRCA2 mutation and discusses the epidemiologic, pathologic, and clinical characteristics along with treatment and follow-up recommendations in view of our recent understanding of the disease.

Recurrent EGFR-Mutated Non–Small Cell Lung Cancer Discovered by Abnormal Mammogram: Adjuvant/Frontline Metastatic Management Options
ByMehmet Sitki Copur, MD,Rudy P. Lackner, MD,Adam J. Horn, MD,Thomas Zusag, MD,Shellie Faris, MD,Paul Rodriguez, MD ABSTRACT:
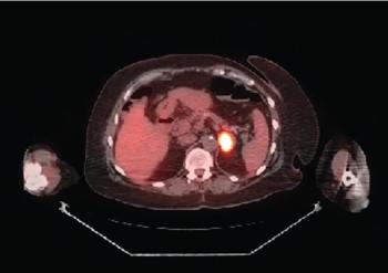
Breast metastasis from extramammary malignancy is rare, with a reported incidence rate of 0.4% to 1.3% in the published literature. The primary malignancies that most commonly metastasize to the breast are leukemia, lymphoma, and malignant melanoma. Here, we report a very rare case of metastatic EGFR-mutated non–small cell lung cancer (NSCLC) in the breast detected by screening mammography. The patient had initially been diagnosed with a clinical stage IIIA NSCLC and had been treated with neoadjuvant chemoradiation followed by curative-intent surgery. Several interesting aspects of the case, along with a discussion of evolving adjuvant and frontline metastatic management options in EGFR-mutated NSCLC, will be presented.