Articles by Nicholas Lintel, MD

Complete Pathologic Response to Neoadjuvant Chemoimmunotherapy and Oxaliplatin-Induced Fever Associated With IL-6 Release in a Patient With Locally Advanced Colon Cancer
ByMehmet Sitki Copur, MD, FACP,Caleb W. Schroeder, MD,Quan Ly, MD,Whitney Wedel, MD,Jacqueline R. Kelly, MD, MSc,Paul Rodriguez, MD,Soe Min Tun, MD, MBA, MSc,Nicholas Lintel, MD,Adam J. Horn, MD,Bronson Riley, CGC This case presents a patient with locally advanced, unresectable, mismatch repair–deficient sigmoid colon cancer who was treated with neoadjuvant chemoimmunotherapy followed by surgical resection leading to a complete pathologic response after preoperative systemic chemoimmunotherapy.

A 64-Year-Old Man With Germline BRCA2-Mutated Breast Cancer: Known and Unknown Aspects of Male Breast Cancer
ByMehmet Sitki Copur, MD, FACP,Jacqueline R. Kelly, MD, MSc,Nicholas Lintel, MD,Bronson Riley, MS,Daniel J. Herold, MD,Shellie Faris, MD,Whitney Wedel, MD,Adam J. Horn, MD This study presents a male breast cancer case with a germline BRCA2 mutation and discusses the epidemiologic, pathologic, and clinical characteristics along with treatment and follow-up recommendations in view of our recent understanding of the disease.

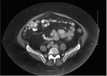
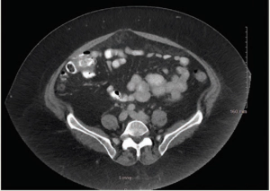
Mucinous Adenocarcinoma of the Appendix With Histologic Response to Neoadjuvant Chemotherapy: Review of Histologic and Clinical Spectrum of Epithelial Neoplastic Mucinous Lesions of the Appendix
ByMehmet Sitki Copur, MD,Allison M. Cushman-Vokoun, MD, PhD,James Padussis, MD,Whitney Wedel, MD,Caleb W. Schroeder, MD,Daniel J. Herold, MD,Nicholas Lintel, MD,Adam J. Horn, MD Mehmet Sitki Copur, MD, and colleagues examine the case of a 65-year-old patient with appendiceal mucinous neoplasms of the appendix who was treated with cytoreductive surgery and hyperthermic intraperitoneal chemotherapy.

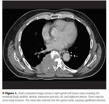
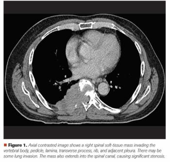
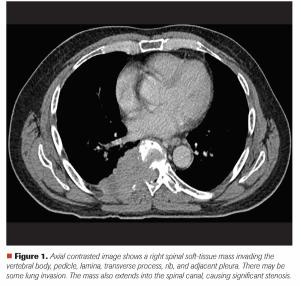
A 65-Year-Old Man With Back Pain and Imaging Findings of Spinal Cord Compression
ByMehmet Sitki Copur, MD,Scott Bell, MD, PhD, MPH,Paul Rodriguez, MD,Whitney Wedel, MD,Nicholas Lintel, MD,Thomas Zusag, MD,John L. Allen, MD Mehmet S. Copur, MD, and colleagues examine the case of a 65-year-old who presented with back pain and a large T8 spinal mass, leading to a diagnosis of multiple myeloma with spinal cord compromise.