
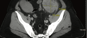
This case presents a patient with locally advanced, unresectable, mismatch repair–deficient sigmoid colon cancer who was treated with neoadjuvant chemoimmunotherapy followed by surgical resection leading to a complete pathologic response after preoperative systemic chemoimmunotherapy.



