
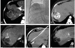
A thought-provoking installment of Clinical Quandaries is presented by Alejandro Gabutti, MD; and Tommaso Cascella, MD, of a 36-year-old patient with hepatitis C virus-related cirrhosis and a subsequent diagnosis of hepatocellular carcinoma.

Your AI-Trained Oncology Knowledge Connection!


A thought-provoking installment of Clinical Quandaries is presented by Alejandro Gabutti, MD; and Tommaso Cascella, MD, of a 36-year-old patient with hepatitis C virus-related cirrhosis and a subsequent diagnosis of hepatocellular carcinoma.

The case of a 64-year-old white woman with hepatitis C virus infection-related well-compensated cirrhosis with hepatocellular carcinoma recuurence.

Published: April 21st 2021 | Updated:

Published: March 19th 2020 | Updated: