
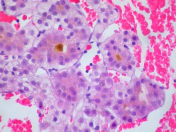
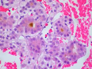
The case of a 64-year-old white woman with hepatitis C virus infection-related well-compensated cirrhosis with hepatocellular carcinoma recuurence.

Your AI-Trained Oncology Knowledge Connection!


The case of a 64-year-old white woman with hepatitis C virus infection-related well-compensated cirrhosis with hepatocellular carcinoma recuurence.

Published: March 19th 2020 | Updated: