
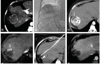
A thought-provoking installment of Clinical Quandaries is presented by Alejandro Gabutti, MD; and Tommaso Cascella, MD, of a 36-year-old patient with hepatitis C virus-related cirrhosis and a subsequent diagnosis of hepatocellular carcinoma.

Your AI-Trained Oncology Knowledge Connection!


A thought-provoking installment of Clinical Quandaries is presented by Alejandro Gabutti, MD; and Tommaso Cascella, MD, of a 36-year-old patient with hepatitis C virus-related cirrhosis and a subsequent diagnosis of hepatocellular carcinoma.

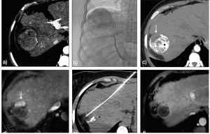
The case of a 64-year-old white woman with hepatitis C virus infection-related well-compensated cirrhosis with hepatocellular carcinoma recuurence.

What is the best treatment option after progression to chemotherapy/immunotherapy (chemo/IO) as first-line treatment for PD-L1–positive lung adenocarcinoma with no sensitizing mutations?

Melanoma of the skin is the 19th most common malignant neoplasm worldwide, with 287,723 new cases estimated for 2018 and metastatic melanoma accounting for 4% of all new cases. In recent years, the prognosis of this stage has undergone a dramatic transformation with the advent of immunotherapy and BRAF/MEK targeted therapy.

Published: April 21st 2021 | Updated:

Published: July 16th 2019 | Updated:

Published: August 23rd 2019 | Updated:

Published: March 19th 2020 | Updated: