
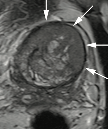
Dr. Judd W. Moul, MD, and colleagues present the case of a man, aged 73 years, with a prostate-specific antigen level of 110 ng/mL after 4 negative prostate biopsies and 4 negative prostate MRIs.

Your AI-Trained Oncology Knowledge Connection!

Member, Genitourinary Cancers Editorial Board
James H. Semans, MD, Distinguished Professor of Urologic Surgery
Professor of Surgery
Professor in Anesthesiology
Duke University School of Medicine
Durham, NC
Judd W. Moul, MD, is a retired colonel and a noted researcher and clinician in prostate cancer and is a urologic oncologist. He served as the division chief of Duke Division of Urology from 2004 to 2011 and was named the James H. Semans MD Professor of surgery in 2009 becoming Duke's first named endowed chair for urology. Moul has served as the Editor for Prostate Cancer and Prostatic Disease, a Nature Medicine journal, for more than a decade and is a popular speaker and lecturer having been visiting professor and keynote speaker throughout the US and the World.

Dr. Judd W. Moul, MD, and colleagues present the case of a man, aged 73 years, with a prostate-specific antigen level of 110 ng/mL after 4 negative prostate biopsies and 4 negative prostate MRIs.

Judd Moul, MD, discusses the gravity of new data on systemic therapies for men with castration-resistant prostate cancer and how they can be of use during the COVID-19 pandemic.

Dr Raoul Concepcion leads a multidisciplinary expert panel in a discussion about the challenges of long-term follow-up of prostate cancer in patients with negative bone/CT but positive molecular indicators of recurrence.

An expert panel discusses the challenges of detecting and managing biochemical recurrence in the context of oligometastatic prostate cancer.

Dr Munir Ghesani reviews and comments on data regarding the sensitivity of imaging modalities in detecting biochemical recurrence in prostate cancer.

Dr Raoul Concepcion leads a panel discussion on a case of a 64-year-old man with multifocal prostate cancer treated with IMRT who refused ADT.

Munir Ghesani, MD, an expert in nuclear medicine, describes the factors that differentiate available tracers and provides guidance on tracer selection.

An expert panel reacts to polling data on choice of imaging modalities for patients with prostate patients after definitive therapy and share their insights about best practices.

Raoul Concepcion, MD, presents the case of a 58-year-old man who had a radical prostatectomy 6 months prior and discusses how aspects of the case influence treatment selection.

Experts in prostate cancer discuss considerations for initiating ADT therapy after definitive treatment in patients with prostate cancer in the context of biochemical recurrence.