
Erdheim-Chester Disease: A Case Report of BRAF V600E–Negative, MAP2K1-Positive ECD Diagnosed by Blood Next-Generation Sequencing Assay and a Brief Literature Review
ByAnkita Aggarwal, MD,Mackenzie Taychert, DO,MHD Louay Hasanin, MD,Donald Doll, MD,Mira Gabrielle Basuino, BS,Hassan Hasanein, MD
Published: | Updated:
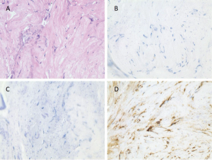
Investigators report a case of a man, aged 55 years, with an extensive and prolonged course of an unexplained multi-systemic disease, and also review common clinical manifestations, mutations, diagnoses, and targeted therapies for Erdheim-Chester disease.


