
Michał Kostrzanowski, MD
Advertisement
Articles by Michał Kostrzanowski, MD


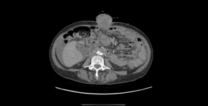
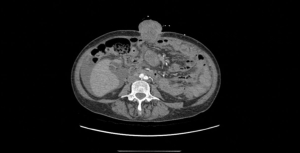
We present the case of a 51-year-old woman with metastatic International FIGO stage IIIC ovarian cancer who had delayed her therapy after initial laparoscopy due to COVID-19 infection and presented with an extreme case of surgical port metastasis.
Advertisement
Latest Updated Articles
Advertisement
Advertisement
Trending on CancerNetwork
1
124 Real-World Progression-Free Survival 2 and Tumor Response of CDK4/6is + Aromatase Inhibitor in Patients With HR+/HER2– Metastatic Breast Cancer
2
122 Adjuvant Ribociclib (RIB) Plus Nonsteroidal Aromatase Inhibitor (NSAI) in Patients With HR+/HER2− Early Breast Cancer (EBC): NATALEE 5-Year Outcomes
3
FDA Approves Zenocutuzumab in NRG1+ Cholangiocarcinoma Post Systemic Therapy
4
TIP126 TroFuse-011: A Phase 3, Randomized, Open-Label Study of Sacituzumab Tirumotecan With or Without Pembrolizumab vs Treatment of Physician’s Choice for Previously Untreated Locally Recurrent Unresectable or Metastatic Triple-Negative Breast Cancer With PD-L1 Combined Positive Score <10
5


