
Pneumocystis jirovecii Pneumonia in Patients With Metastatic Prostate Cancer on Corticosteroids for Malignant Spinal Cord Compression: Two Case Reports and a Guideline Review
ByCassandra Duarte, MD,Danielle Gilbert, BA,Alison D. Sheridan, MD,Sarah D. Weisdack, PharmaD,Elaine T. Lam, MD
Published: | Updated:
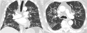
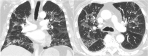
Two case reports and a review of PCP in patients with solid tumors.


