
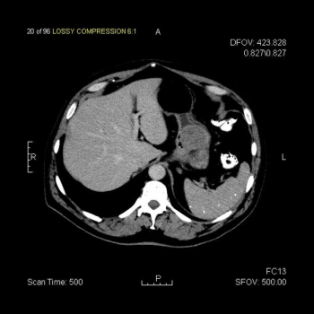
This slide show features a CT image, and pathology images of gastrointestinal stromal tumors (GISTs) arising in the stomach using H&E, CD34, and c-Kit staining.

Your AI-Trained Oncology Knowledge Connection!


This slide show features a CT image, and pathology images of gastrointestinal stromal tumors (GISTs) arising in the stomach using H&E, CD34, and c-Kit staining.

This kidney cancer slide show features images of chromophobe, papillary, and clear-cell renal cell carcinomas; as well as sarcomatoid, transitional cell, and small-cell carcinomas of the kidney.

This slide show includes some of the highlights from the 2014 ASCO Genitourinary Symposium, including a study looking at anti-HER2 agents and radiation therapy (RT) for bladder cancer, RT for prostate cancer, and novel therapies in RCC.

This slide deck covers the treatment of triple-negative breast cancer, a heterogeneous disease made up of numerous subtypes, and includes clinical variables that can help with prognosis and guide in treatment choice.

This slide show features highlights from the 2014 ASCO Gastrointestinal Cancers Symposium, including a trial testing a vaccine combo for the treatment of pancreatic cancer, the use of anti-angiogenesis therapy in gastric cancer, and more.

This slide show features some of the highlights to come out of the 2013 San Antonio Breast Cancer Symposium.

This slide show features some of the highlights from the 55th American Society of Hematology Annual Meeting and Exposition.

This slide show includes some of the highlights from the 2013 ASCO Breast Cancer Symposium, including a study looking at how many women know their breast cancer risk, a study on cardiovascular risk in DCIS patients treated with radiation, and more.

This slide show features highlights from the 2013 European Cancer Congress, including trials on PSA screening, melanoma, ovarian cancer, HER2-positive breast cancer, lung cancer, and colorectal cancer.

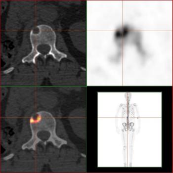
This slide show features images of diffuse osteoblastic bone metastases in a 70-year-old advanced prostate cancer patient, bone metastases in the vertebral column of a kidney cancer patient, and more.