
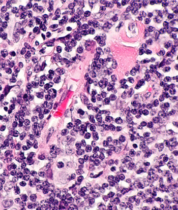
Median duration on bezuclastinib was 56 weeks vs 40 weeks for placebo in non-advanced systemic mastocytosis, the phase 2 Summit trial reported.

Your AI-Trained Oncology Knowledge Connection!


Median duration on bezuclastinib was 56 weeks vs 40 weeks for placebo in non-advanced systemic mastocytosis, the phase 2 Summit trial reported.

Data from the RIGHT Choice study showed that ribociclib/ET yielded efficacy benefits for luminal B/HER2E breast cancer vs combination chemotherapy.

During an FDA Special Session, field experts talked about the NATALEE trial and further information gathering on adjuvant ribociclib in breast cancer.

Glofitamab with polatuzumab vedotin benefited patients with high-grade B-cell lymphomas and who failed prior CAR T-cell therapy.

Findings from the SAVE study showed that an all-oral revumenib-based combination may improve responses in patients with acute myeloid leukemia with certain genetic alterations.

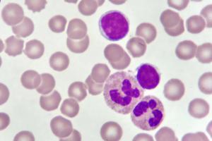
Smoking may contribute to genetic mutations and disease progression in myelodysplastic syndromes, a recent study found.

In patients with early breast cancer, hypofractionated radiation was noninferior to normofractionated radiation regarding lymphedema risk.

The safety profile of nivolumab/relatlimab/chemotherapy in RELATIVITY-104 was comparable with prior reports of each individual agent.

High TILs may predict who may have a reduced risk for disease relapse or death in patients with early HER2-positive breast cancer treated with trastuzumab.

Amivantamab plus chemotherapy also improved time to symptomatic progression among patients enrolled on the MARIPOSA-2 trial.

Most infection events among those with newly diagnosed multiple myeloma in the MajesTEC-7 trial appeared to occur early during study treatment.

Subcutaneous amivantamab proved noninferior vs intravenous administration in EGFR-mutated non–small cell lung cancer.

Investigators may continue to reevaluate the benefits of the AI navigator MyEleanor over time in other patient populations.

Nurses must increase the frequency of their assessments for early intervention of patients who undergo treatment for their head and neck cancer, in an effort to truly individualized care.

A mobile app may help to expedite treatment and identification for patients with GVHD.

Darolutamide correlates with a marginally longer length of stay per hospitalization compared with placebo among those with metastatic hormone-sensitive prostate cancer.

Real-world data suggest a role for noncytotoxic chemotherapy treatments such as EGFR inhibitors beyond the frontline setting for patients with metastatic colorectal cancer.

Treatment with ruxolitinib improves the probability of failure-free survival compared with best available treatment among those with chronic graft-versus-host-disease in the phase 3 REACH3 study.

Auto-HCT results in higher overall survival compared with CAR-T cell therapy in patients with relapsed large B-cell lymphoma while they are in complete response, according to findings from a retrospective study.

A virtual care platform significantly reduces hospital days for patients who are receiving CAR T-cell therapy, says Tonya Cox, BSN, RN, OCN.

The assessment of health-related quality of life for patients with previously treated multiple myeloma was found to be enhanced in the phase 3 KarMMa-3 trial when patients were treated with idecabtagene vicleucel.

Central nervous system progression was reduced with osimertinib plus chemotherapy for patients with EGFR-mutated non-small cell lung cancer plus CNS metastases.

Tarlatamab may represent a new immunotherapeutic approach for patients with small cell lung cancer, according to the investigators of the phase 2 DeLLphi-301 trial.

According to an expert from Johns Hopkins Sidney Kimmel Comprehensive Cancer Center, radium-223 shows positive efficacy and safety findings for patients with metastatic castration-resistant prostate cancer.

Medicaid expansion may help overcome inequities in access to care for pancreatic and gastric cancers, with notable benefit in Black patients, according to an expert from The University of Texas MD Anderson Cancer Center.

Findings from the phase 2 UNITE study indicate that certain biomarkers may help inform clinical decision making and sequencing in patients with advanced urothelial carcinoma.

A 3-drug regimen with post-transplant cyclophosphamide may represent a new prophylactic option for well-matched adults with graft-versus-host disease who underwent reduced-intensity transplant.

Research suggests patients with advanced renal cell carcinoma who received neoadjuvant cabozantinib saw reductions in tumor size with no disease progression.

Patients with recurrent hepatocellular carcinoma after liver transplantation were treated with lenvatinib and saw promising efficacy.

After 3 years of follow-up in the ASCEND study, progression-free survival continues to favor acalabrutinib vs investigator’s choice of therapy for relapsed chronic lymphocytic leukemia.

Published: June 14th 2021 | Updated:

Published: December 9th 2023 | Updated:

Published: December 5th 2020 | Updated:

Published: June 4th 2021 | Updated:

Published: December 10th 2021 | Updated:

Published: December 10th 2023 | Updated: