Articles by Elizabeth R. Kessler, MD

In this article, we discuss the importance of assessing frail and elderly prostate cancer patients before starting treatment and making adjustments to the choice of therapy, or supportive services, in order to maximize benefit and minimize potential harms.

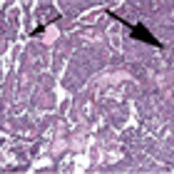
Lymphoepithelioma-Like Carcinoma of the Urinary Bladder
ByElizabeth R. Kessler, MD,Arya Amini, MD,Shandra S. Wilson, MD,Kathryn Breaker, RN-MS, ANP-C,David Raben, MD,Francisco G. La Rosa, MD,E. David Crawford, MD A 65-year-old woman presented to a local emergency department complaining of right flank pain that had worsened over the past 10 days. A CT scan of the abdomen and pelvis showed intravesical tumors of the urinary bladder.

A 71-year-old woman presented with back pain and was incidentally found to have a left upper pole renal mass. She underwent left open partial nephrectomy; the pathology results revealed a 2.2-cm clear-cell renal cell carcinoma (RCC) with negative margins and a Fuhrman nuclear grade of 2.

With the emergence of several new agents for the treatment of advanced prostate cancer, new questions have arisen regarding the optimal sequence or combination of these agents. As we await the results of ongoing and planned clinical trials to answer some of these questions directly, the decision-making process will rely heavily on considerations of side effects and patient characteristics.

The patient is a 66-year-old male who presented to his primary care physician with a 3-week history of painless gross hematuria. He underwent a renal ultrasound that showed a left kidney mass.

This review focuses on targeted therapies related to these pathways of interest for the treatment of advanced urothelial carcinoma, describing the evidence to support further investigation of these approaches.