
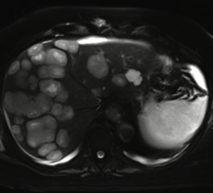
Ghulam Gous, MD, and colleagues report a case of glioblastoma with extensive liver metastases along with a review of previous reports of liver metastasis from glioblastomas and the possible mechanisms of metastasis.

Your AI-Trained Oncology Knowledge Connection!


Ghulam Gous, MD, and colleagues report a case of glioblastoma with extensive liver metastases along with a review of previous reports of liver metastasis from glioblastomas and the possible mechanisms of metastasis.

Published: November 15th 2021 | Updated: