
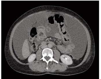
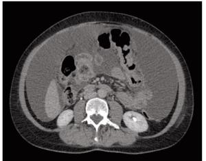
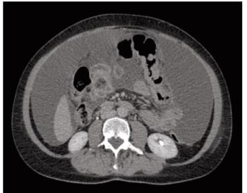
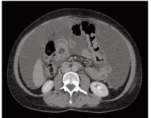
An otherwise healthy 58-year-old woman with a history of breast cancer presents to the clinic with newly diagnosed metastatic disease; eventual abdominal CT showed a mass in the transverse colon with ascites and peritoneal nodularity. What is the best initial systemic treatment for her?



