
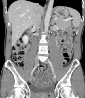
The clinical quandary by Langer et al discusses a contralateral late relapse of the original right nonseminomatous germ cell tumors.

Your AI-Trained Oncology Knowledge Connection!


The clinical quandary by Langer et al discusses a contralateral late relapse of the original right nonseminomatous germ cell tumors.

Published: April 16th 2024 | Updated: