
Judd W. Moul, MD, spoke with CancerNetwork® about the latest research from the journal ONCOLOGY® on the treatment of a patients with evidence of prostate cancer despite multiple negative prognostic tests.

Your AI-Trained Oncology Knowledge Connection!


Judd W. Moul, MD, spoke with CancerNetwork® about the latest research from the journal ONCOLOGY® on the treatment of a patients with evidence of prostate cancer despite multiple negative prognostic tests.

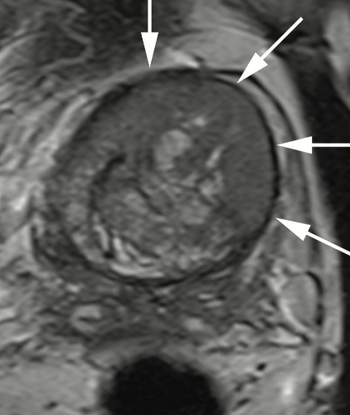
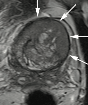
Dr. Judd W. Moul, MD, and colleagues present the case of a man, aged 73 years, with a prostate-specific antigen level of 110 ng/mL after 4 negative prostate biopsies and 4 negative prostate MRIs.

Published: March 14th 2022 | Updated: