
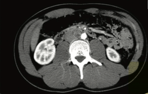
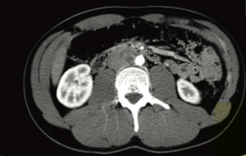
In this installment of Clinical Quandaries, Bendu Konneh, BS, and colleagues present a case of a 21-year-old male with a 4-month history of progressive swelling in the right testicle.

Your AI-Trained Oncology Knowledge Connection!


In this installment of Clinical Quandaries, Bendu Konneh, BS, and colleagues present a case of a 21-year-old male with a 4-month history of progressive swelling in the right testicle.

Published: June 15th 2022 | Updated: