
A clinically applicable mathematical model was developed by researchers to predict outcomes to immunotherapy for patients with cancer previously treated with anti–CTLA-4 or anti–PD-1/PD-L1 antibodies.

Your AI-Trained Oncology Knowledge Connection!


A clinically applicable mathematical model was developed by researchers to predict outcomes to immunotherapy for patients with cancer previously treated with anti–CTLA-4 or anti–PD-1/PD-L1 antibodies.

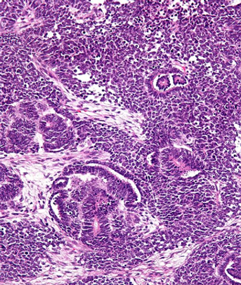
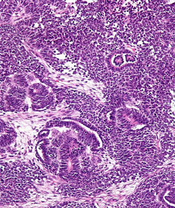
This study analyzed the full prevalence and spectrum of partner and localizer BRCA2 (PALB2) germline mutations in China, focusing on the associations between these PALB2 germline mutations and breast cancer risk.

Recent data suggests that, while short delays beyond 5 weeks after surgical resection of glioblastoma did not negatively impact survival outcomes, early initiation of chemoradiation before 3 weeks could be detrimental to patients.

A recent study found that the proportion of men with high-risk prostate-specific antigen levels at diagnosis was decreased in association with Medicaid expansion states.

A recent study evaluated the effectiveness of local therapy strategies to treat patients with nonmesenteric desmoid tumors and found that young patients, patients with an extremity location, and patients with large tumors are at higher risk of recurrence.

A recent study published in JAMA Oncology revealed that quality improvement initiatives are necessary to optimize treatment and lessen chemotherapy interruption and noncompletion rates among patients with squamous cell anal carcinoma.

A recent study led by led by King's College London and Public Health England examined 1.4 million patients of cancer via the National Cancer Registry and found that early GP referrals led to longer survival rates for patients.

A recent clinical trial’s results found that a targeted drug known as adavosertib caused tumors in nearly 30% of patients examined with uterine serous carcinoma, a hard-to-treat form of uterine cancer.

A recent study examined pancreatic metastases to understand why patients with this particular kidney cancer have better prognoses, and sought to characterize the clinical behavior, therapeutic implications, and underlying biology of this type of cancer.

This study examined electronic cigarette usage among young adults with a history of cancer, comparing the data to young adults without a history of cancer via the 2018 Behavioral Risk Factor Surveillance System survey.

A recent study reported a 96.2% event-free survival rate and a 100% overall survival rate when investigating treatment option for stage I epithelial-predominant favorable-histology Wilms tumors in a population with a majority of patients under the age of 48 months.

The FDA granted a breakthrough therapy designation and priority review under its Accelerated Approval Program to sacituzumab govitecan-hziy for the treatment of patients with metastatic triple-negative breast cancer.

A recent study determined 4 distinct long noncoding RNA-based immune classes for patients with cancer and provided scores for integration into multiomic panels for precision immunotherapy.

A recent study found that switch maintenance therapy after first-line platinum-based chemotherapy led to higher objective response rates and longer progression-free survival for patients of urothelial cancer.

A recent study examined the differences in stage of leading cancer types at diagnosis, treatment and overall survival of patients according to different races and ethnicities.

This study examined delayed targeted intraoperative radiotherapy vs external beam radiotherapy to determine how it impacted patients with breast cancer, finding no statically significant decrease in mastectomy-free survival, distant-disease survival or overall survival.

A group of expert medical societies developed joint recommendations for healthcare professionals and patients to guide the prioritization, treatment and triage of breast cancer during the COVID-19 pandemic.

AstraZeneca announced it will be conducting a global clinical trial, CALAVI, to examine the impact of adding acalabrutinib to best supportive care for patients who are severely ill with the COVID-19 infection.

Researchers examined the pathology of early-phase COVID-19 pneumonia in two older patients who were admitted to the hospital for adenocarcinoma procedures, but did not exhibit COVID-19 symptoms at the time of these procedures.

A number of different healthcare organizations released specific guidelines for patients and healthcare professionals on how to best handle cancer care while dealing with the international COVID-19 pandemic.

A recent study examined the literature surrounding the efficacy of radiotherapy as it pertains to each gender, showing that women are more likely to be cured of their cancer with radiotherapy treatment than men.

Agenus received approval from the FDA for fast track designation of balstilimab monotherapy and balstilimab and zalifrelimab combination therapy for the treatment of metastatic cervical cancer.

Bristol Myers Squibb recently announced that the FDA granted priority review to nivolumab plus ipilimumab in combination with chemotherapy as a first-line treatment for metastatic NSCLC.

A recent study found that a group of patients with metastatic castration-resistant prostate cancer responded positively to treatment with ipilimumab, prolonging survival after treatment in the “favorable” cohort.

An international team of researchers created a framework of recommendations to help patients and healthcare professionals make decisions regarding radiation treatment for patients with prostate cancer during the COVID-19 pandemic.

A study found that, utilizing cell-free DNA sequencing leveraging methylation patterns, a new blood test could detect more than 50 cancer types and the location of these cancer types in the body.

Plastic surgeon and breast specialist Dr. Constance Chen discussed the potential complications of implant-based breast reconstruction, and how it compares to natural tissue reconstruction.

Researchers determined that artificial intelligence could help predict responses to systemic therapies for patients with non-small cell lung cancer by utilizing CT scans.

A recent study analyzed response to treatment of oligometastatic prostate cancer with stereotactic ablative radiotherapy and found improved oncologic outcomes among men.

A study with a small sample size revealed that trastuzumab deruxtecan showed promising activity in multiple HER2-expressing or HER2-mutant solid tumors.