
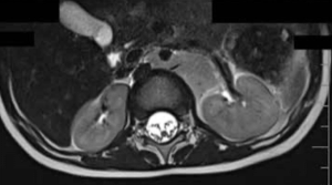
In this clinical quandary, investigators determine how to best treat patients with opsoclonus-myoclonus–associated neuroblastoma with bone marrow metastases.

Your AI-Trained Oncology Knowledge Connection!


In this clinical quandary, investigators determine how to best treat patients with opsoclonus-myoclonus–associated neuroblastoma with bone marrow metastases.

Published: October 22nd 2021 | Updated: