
In this clinical quandary, investigators determine how to best treat patients with opsoclonus-myoclonus–associated neuroblastoma with bone marrow metastases.

Your AI-Trained Oncology Knowledge Connection!


In this clinical quandary, investigators determine how to best treat patients with opsoclonus-myoclonus–associated neuroblastoma with bone marrow metastases.

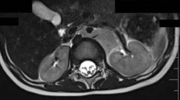
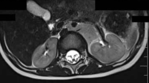
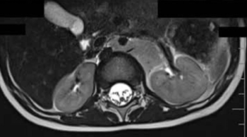
KEY POINTS • Synovial sarcomas are often mistreated with unplanned tumor resection. • Attention from specialists early in the course of SS can minimize the risk of recurrence, metastases, and the necessity for resurgery, all of which are increased with unplanned tumor resection. • Chemotherapy alone does not provide sufficient local control of the tumor. • Resurgery, in conjunction with radiotherapy and chemotherapy, is the best choice of management for this patient.

Published: February 11th 2021 | Updated:

Published: October 22nd 2021 | Updated: