
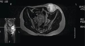
KEY POINTS • Synovial sarcomas are often mistreated with unplanned tumor resection. • Attention from specialists early in the course of SS can minimize the risk of recurrence, metastases, and the necessity for resurgery, all of which are increased with unplanned tumor resection. • Chemotherapy alone does not provide sufficient local control of the tumor. • Resurgery, in conjunction with radiotherapy and chemotherapy, is the best choice of management for this patient.



