
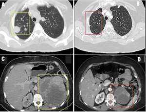
In this installement of Clinical Quandaries, Abigail Mateos-Soria, MD, and colleagues present a case of an 38-year-old woman who has a 3-month history of fatigue, dyspnea, significant weight loss, and severe left flank pain.

Your AI-Trained Oncology Knowledge Connection!


In this installement of Clinical Quandaries, Abigail Mateos-Soria, MD, and colleagues present a case of an 38-year-old woman who has a 3-month history of fatigue, dyspnea, significant weight loss, and severe left flank pain.

Published: April 15th 2022 | Updated: