
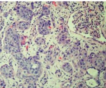
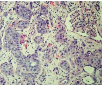
A 64-year-old man is diagnosed with primary squamous cell carcinoma within the upper pole calyceal diverticulum of the kidney. What are the best steps of management?

Your AI-Trained Oncology Knowledge Connection!


A 64-year-old man is diagnosed with primary squamous cell carcinoma within the upper pole calyceal diverticulum of the kidney. What are the best steps of management?

In this article, we discuss the importance of screening for depression in cancer patients, as well as the available treatment options and their pros and cons.

Here, two oncology pharmacists discuss the side effects of PARP inhibitor treatment, and how to prevent and treat nausea and vomiting in this patient population.

In this review, we introduce the fundamentals of artificial intelligence and provide an overview of its current applications, pitfalls, and future directions in oncology.

In this article, we discuss why participation in clinical trials in the community oncology setting is often inadequate, how this affects cancer research, and the ways to close this gap.

Here, we look at the currently open and recruiting clinical trials that focus on the role of the microbiome in colorectal cancer.