
Mehmet Sitki Copur, MD, gives his perspective on liquid biopsies and how they can be utilized in gastrointestinal cancer.

Your AI-Trained Oncology Knowledge Connection!


Mehmet Sitki Copur, MD, gives his perspective on liquid biopsies and how they can be utilized in gastrointestinal cancer.

Molecular profiling is being explored in pancreatic adenocarcinoma as a tool to assist with early detection, prognosis, and patient selection in targeted therapy clinical trials.

Rituximab-subcutaneously is associated with significantly reduced chair time vs rituximab-intravenously in a US oncology setting. Widespread adoption would be expected to improve practice efficiency and patient access to care, and to reduce health care resource burden.

Sunil A. Reddy, MD gives his perspective on the article, Metastatic Basal Cell (BCC) Arising from a Primary Cutaneous Carcinosarcoma.

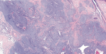
This study presents a case of a man, aged 56 years, found to have a 26-mm exophytic lesion on the vertex scalp identified to contain a distinct population of basal cell carcinoma as well as another population of spindled cells representing a poorly differentiated sarcomatous component.

In this edition of Clinical Quandaries, Regina Barragan-Carrillo, MD, and colleagues present a case of an 18-year-old man who has a 1-month history of nonpainful right testicular enlargement.

In an interview with ONCOLOGY®, Keith Hecht, PharmD, offers a comprehensive review of real-world treatment considerations of loncastuximab tesirine as therapy for patients with diffuse large B-cell lymphoma.

“Having the opportunity to work within the industry in that sort of capacity, and then seeing a drug translate into clinical benefit in the clinic, was very exciting and gratifying.”

As always, keep up with the latest issue of ONCOLOGY® to stay up-to-date on the latest practical and timely clinical information necessary to deliver the highest level of patient care.