
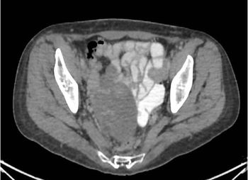
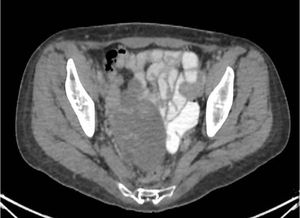
In this edition of Clinical Quandaries, Regina Barragan-Carrillo, MD, and colleagues present a case of an 18-year-old man who has a 1-month history of nonpainful right testicular enlargement.

Your AI-Trained Oncology Knowledge Connection!


In this edition of Clinical Quandaries, Regina Barragan-Carrillo, MD, and colleagues present a case of an 18-year-old man who has a 1-month history of nonpainful right testicular enlargement.

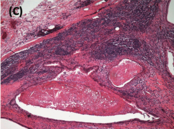
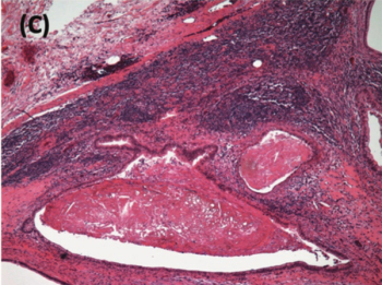
Key points: Patients with disorders of sex development (DSDs) are at an increased risk of malignant germ cell tumors (GCTs). In adulthood, the partial form of androgen insensitivity syndrome confers the greatest risk of developing malignant GCTs. Gonadoblastoma is the most common gonadal GCT arising in patients with DSDs. Despite being a benign neoplasm, it can undergo malignant transformation in up to 60% of patients with a DSD. Oncologic treatment in patients with disorders of sex development and malignant GCTs does not differ from the standard treatment for testicular GCTs. Treatment of patients with DSDs requires a multidisciplinary team, including a psychiatric, genetic, and reproductive assessment as well as the involvement of an ethics committee. An early diagnosis of DSDs is crucial to avoid the development of potentially serious complications in adulthood.

Published: October 14th 2020 | Updated:

Published: December 17th 2021 | Updated: