
Jae Park, MD, discussed the use of CAR T-cell therapy across the hematologic malignancies space.

Your AI-Trained Oncology Knowledge Connection!


Jae Park, MD, discussed the use of CAR T-cell therapy across the hematologic malignancies space.

In a recent Hot Topics article, reimbursement rates for Medicare physicians are discussed, and how it will impact their practice.

Linda E. Carlson, PhD, RPsych, discusses the recent updates from SIO/ASCO to the anxiety and depression guidelines for patients with cancer.

A recent clinical quandary focused on the diagnosis and treatment of blastic plasmacytoid dendritic cell neoplasm in a resource-limited setting.

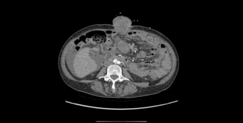
We present the case of a 51-year-old woman with metastatic International FIGO stage IIIC ovarian cancer who had delayed her therapy after initial laparoscopy due to COVID-19 infection and presented with an extreme case of surgical port metastasis.

Julie M. Vose, MD, MBA, discusses the pros and cons of patients having early access to electronic medical records.