
Charles E. Rutter, MD
Advertisement
Articles by Charles E. Rutter, MD

Advertisement
Latest Updated Articles
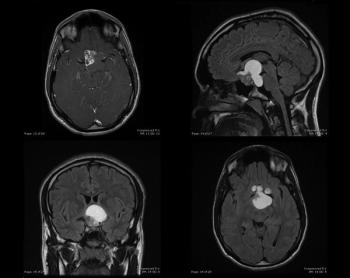
Young Man With a History of Headaches and Blurred VisionPublished: March 21st 2013 | Updated:
Advertisement
Advertisement
Trending on CancerNetwork
1
FDA Gives Traditional Approval to Pirtobrutinib in CLL/SLL
2
Novel Cancer Vaccine Improves OS vs SOC in Newly Diagnosed GBM
3
The Role of Artificial Intelligence in Palliative Oncology: Zeroing in on Hematologic Malignancies
4
FDA Approves Novel Blood-Based Prostate Cancer Test for Elevated PSA Levels
5


