
“As a field, we’re trying to push hard to make [radiation] patient-centered, and because of that, the field is the future of the field is pretty bright,” James B. Yu, MD, MHS, FASTRO, stated.

Your AI-Trained Oncology Knowledge Connection!


“As a field, we’re trying to push hard to make [radiation] patient-centered, and because of that, the field is the future of the field is pretty bright,” James B. Yu, MD, MHS, FASTRO, stated.

James B. Yu, MD, MHS, FASTRO, believes that 2 of the most intriguing and growing areas of radiation oncology are reirradiation of the prostate and bladder chemoradiation.

“You have to come up with a novel twist in order to make an impactful study or get your own unique data set…” James B. Yu, MD, MHS, FASTRO, said in regard to creating interesting research.

A lot of James B. Yu’s research begins with something as simple as a question from a patient regarding what aspects of treatment may be most beneficial.

In radiation oncology, renal cancers are experiencing the greatest levels of change and growth, according to James B. Yu.

“The better the systemic therapy, immunotherapy, or targeted therapy, the more important a non-invasive, local treatment will be,” James B. Yu stated.

As a radiation oncologist, James B. Yu, MD, MHS, FASTRO, works with urologists, medical oncologists, radiologists, pathologists, physicists, and health services researchers.

Hear from leading cancer experts about the lasting impact the COVID-19 pandemic has left on clinical practice.

AI tools may show utility in areas such as prostate diagnostic imaging, pathology, and treatment outcome predictions.

Artificial intelligence use in prostate cancer encompasses 4 main areas including diagnostic imaging, prediction of outcomes, histopathology, and treatment planning.

Quality of life is better after modern radiotherapy compared with surgery.

More research is needed to define the optimal radiotherapy and chemotherapy regimen for male urethral carcinoma. However, modern chemoradiation is a feasible treatment option for motivated men with urethral carcinoma who want to preserve their organs.

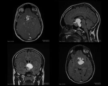
For many women, the prospect of tumors growing in their brain that may eventually impact their ability to communicate, interact, and remember is terrifying.

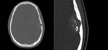
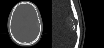
A 62-year-old man trips on a curb and hits his head. He presents to the emergency department after a concussion, and a non-contrast CT of the head is obtained. What is the most likely diagnosis?

It is important for all of us now and then to take a step back and recapture the wonder that we all felt at the onset of our careers, when treatments we now consider simple and routine held an aura of miracle. For me, a little bit of that wonder returns every time I treat a patient with a bony metastasis-in particular, from prostate cancer.

Despite the promise of proton therapy, comparative evidence has yet to definitively demonstrate its clinical benefit over other forms of contemporary radiation for prostate cancer.

The ACR Appropriateness Criteria®, and their mission to improve the knowledge of practicing oncologists and the level of care our patients receive, is wholly consistent with the goals of ONCOLOGY. We are hopeful that our readership will find the ACR Appropriateness Criteria® a valuable resource in their day-to-day practice. I personally look forward to future guidelines in this series.





In this video, Dr. Yu discusses why he went into radiation oncology and what he has learned during his time in practice.

For oncologists, the impact of the Supreme Court's decision on the Affordable Care Act will likely mean that their patients will no longer be in danger of losing insurance or being denied insurance because of cancer.

Given that prostate cancer is the most common non-cutaneous cancer among men in the Western world, its treatment is of great medical and public significance.

This review describes the development and technical capabilities of GIS, potential applications of Geographical Informational Systems in cancer research, and the limitations of such work.

This article defines the biochemical recurrence of prostate cancer, distinguish SRT from ART, outline the evidence for SRT, and makes recommendations with regard to radiotherapy volume and dose.

The Surveillance, Epidemiology, and End Results (SEER) program of the National Cancer Institute (NCI) collects cancer survival and incidence information from population-based cancer registries, encompassing 26% of the US population.[1]

Published: May 17th 2024 | Updated:

Published: March 10th 2025 | Updated:

Published: July 6th 2012 | Updated:

Published: August 15th 2013 | Updated:

Published: December 15th 2013 | Updated:

Published: March 18th 2009 | Updated: